|  | 
  
    |              
        
          | Abcam 助您在GBM研究中一次到位 & 「ELISA便利貼贈送活動」倒數中
        
                
                  | GBM研究三大工具組合: IHC 重組抗體・細胞類型抗體・SimpleStep ELISA一次備齊
 |  膠質母細胞瘤(Glioblastoma,GBM)是最常見、惡性程度最高的原發性腦膠質瘤(WHO grade IV),不僅侵入性強、預後能力差,且腫瘤具有高度異質性(Heterogeneity)。不僅在腫瘤內部呈現多樣化的分子特徵,如 EGFR 放大、 PTEN 缺失及 p53 突變,同時還涉及多條關鍵訊號傳導途徑,包括 EGFR、VEGF、PI3K/Akt/mTOR、MAPK、Wnt 及 NF-κB 等。這些複雜的交互作用,使 GBM 的發病機制與治療研究面臨極大挑戰。 讓您的研究不用再東拼西湊! Abcam 精心挑選並嚴格驗證的抗體與檢測產品組合,涵蓋GBM主要訊息傳導路徑中90%以上的重要標的。 ▲ 經 IHC 驗證的重組抗體精選超過350種重組抗體,皆於內部以多重免疫組織化學(mIHC)嚴格驗證,搭配 Opal™ (Akoya Biosciences) 檢測試劑盒與 BOND™ RX(Leica®) 平台,涵蓋多項膠質母細胞瘤關鍵標的,讓您快速又輕鬆地打造專屬實驗。 
                Anti-EGFRvIII antibody [ab313646] 
                    已在多種正常組織與膠質瘤組織芯片(TMA)上經過加強驗證,確保檢測結果的可靠性通過多重顯色檢測(multiplex chromogenic assay)驗證,提供更高靈敏度與專一性提供無載體(carrier-free)與共軛(conjugated)等模式,靈活滿足不同實驗需求 
                  
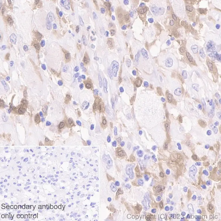
                    |   | 圖1、人類膠質母細胞瘤與胎盤組織之免疫化學染色(Immunohistochemistry, IHC) 使用抗EFGRvlll重組單株抗體(ab313646)及抗EFGR單株抗體(ab52894),以2.5 µg/ml與0.5 µg/ml之濃度進行染色分析;以蘇木精(Hematoxylin)進行核染色。 |  
                Anti-EGFRvIII antibody [ab230949] 
                    經基因剔除(Knock-out)驗證,確保專一性已於膠質母細胞瘤組織中經 IHC 驗證,可靠度高提供無載體(carrier-free)與共軛(conjugated)等模式,靈活滿足不同實驗需求 
                  
                    |   | 圖2、人類膠質母細胞組織之免疫化學染色(Immunohistochemistry, IHC) 
                        使用抗IDH1重組單株抗體( ab230949 )以1/1000稀釋標記 IDH1;二級抗體為Goat Anti-Rabbit IgG H&L (HRP);以蘇木精(Hematoxylin)進行核染色。
                       |  熱門品項 
                
                  | Target | Product Description | Cat No. |  
                  | MGMT | Anti-MGMT antibody [EPR4397] | ab108630 |  
                  | C-MYC | Anti-c-Myc antibody [Y69] - ChIP Grade | ab32072 |  
                  | CHI3L1 | Anti-YKL-40/CHI3L1 antibody [EPR27396-56] | ab305035 |  
                  | BRAF | Anti-BRAF antibody [EP152Y] | ab33899 |  
                  | BRAF | Anti-BRAF (mutated V600E) antibody [VE1] | ab228461 |  
                  | VEGF Receptor 2 | Anti-VEGF Receptor 2 antibody [SP123] | ab115805 |  
                  | MAP2K1/MEK1 | Anti-MEK1 antibody [E342] | ab32091 |  
                 
                  | PTEN | Anti-PTEN antibody [Y184] | ab32199 |  
                  | P53 | Anti-p53 antibody [E26] | ab32389 |  
                 
                  | HER2 | Anti-ErbB2 / HER2 antibody [EP1045Y] | ab134182 |  
                  | CDK6 | Anti-Cdk6 antibody [EPR4515] | ab124821 |  
                 
                  | CDK4 | Anti-Cdk4 antibody [EPR4513-32-7] | ab108357 |  
                  | OLIG2 | Anti-Olig2 antibody [EPR2673] - BSA and Azide free | ab220796 |  
                 
                  | SOX2 | Anti-SOX2 antibody [EPR3131] | ab92494 |  
                  | SOX6 | Anti-SOX6 antibody [EPR24986-148] | ab314209 |  
                 
                  | Glutamine Synthetase | Anti-Glutamine Synthetase antibody [EPR13022(B)] | ab176562 |  立即瀏覽 Abcam 完整的 超過12,000種經IHC驗證的重組抗體系列,其中亦包含可提供無載體(Carrier-Free)形式的產品。   
   ▲ 細胞類型抗體精選了針對主要細胞類型標記的最佳抗體,讓您能夠自信地鑑定神經元與膠質細胞類型。還可以分析膠質母細胞瘤腫瘤微環境(tumor microenvironment)中細胞的增殖狀態以及上皮-間質轉化(EMT)的過程。
               用 Abcam 的高品質重組抗體,讓你的影像分析更有料、更精準。 熱門品項 
                
                  | Target | Product Description | Cat No. |  
                  | BrdU | Anti-BrdU antibody [BU1/75 (ICR1)] - Proliferation Marker | ab6326 |  
                  | Beta III tubulin | Anti-beta III Tubulin antibody - Neuronal Marker | ab18207 |  
                  | CD44 | Anti-CD44 antibody [EPR1013Y] | ab51037 |  
                  | MAP2 | Anti-MAP2 antibody - Neuronal Marker | ab32454 |  
                  | NSE | Anti-NSE antibody [EPR12483] - Neuronal Marker | ab180943 |  
                  | E-cadherin | Anti-E Cadherin antibody [EP700Y] - Intercellular junction Marker | ab40772 |  
                  | N-cadherin | Anti-N Cadherin antibody [EPR1791-4] | ab76011 |  
                  | NeuN | Anti-NeuN antibody [EPR12763] | ab177487 |  
                  | Iba1 | Anti-Iba1 antibody [EPR16588] | ab178846 |  
                  | P2Y12 | Anti-P2Y12 antibody [EPR23511-72] | ab254347 |    
   ▲ SimpleStep ELISA® KitsAbcam 推出的SimpleStep ELISA®試劑盒兼具快速與簡便,同時不影響檢測效能。單次洗滌的操作流程,僅需90分鐘即可獲得結果,實驗時長與傳統ELISA相比大為減半。選擇 Abcam ,提升實驗的靈敏度、特異性與重現性。
               熱門品項 
                
                  | Target | Product Description | Cat No. |  
                  | IL-17 | Human IL-17A ELISA Kit | ab216167 |  
                  | CXCL10 | Human IP-10 ELISA Kit | ab173194 |  
                  | CHI3L1 | Human YKL-40 ELISA kit | ab255719 |  
                  | IL-6 | Human IL-6 ELISA Kit | ab178013 |  
                  | S100A8/S100A9 | Human Calprotectin (S100A8/S100A9) ELISA Kit | ab320045 |  
                  | GFAP | Human GFAP ELISA Kit | ab288175 |  
                若您希望取得更多膠質母細胞瘤的應用抗體,歡迎洽詢 Abcam 台灣代理伯森生技。您可透過下方連結瀏覽更多相關資訊: 號外號外!Abcam 為了感謝長期支持 Abcam ELISA Kit 產品的您,送出 ELISA 便利貼,讓你的實驗紀錄更便利、更快速!;p>
             即日起至 2025年11月30日前,填寫「  Abcam 感謝回饋:ELISA 便利貼贈送 」表單,並於最下方選單選擇伯森生技,我們會將ELISA便利貼寄送至您的實驗室。數量有限,送完為止! 
 歡迎洽詢 Abcam 台灣代理伯森生技。您可透過下方連結瀏覽更多相關資訊: |  
          |  |  |  | 
  
     | 伯森生物科技(股)公司 Blossom Biotechnologies, Inc.
        網址 www.blossombio.com 客服 0800-059668
 [ 📝 線上留言諮詢 ] [ ☎ 伯森業務專員聯絡資訊 ]
 
       	      |