認識重組複合抗體—多表位覆蓋×超高靈敏度的「六邊形戰士」

認識重組複合抗體 ——

多表位覆蓋×超高靈敏度的「六邊形戰士」

100 多名科學家於 2015 年共同在《Nature》雜誌上發表了一篇評論性文章[1],呼籲學術界放棄由免疫細胞或免疫細胞與腫瘤細胞融合所產生的抗體,改用重組抗體以解決傳統抗體所存在的批次間專一性問題。在過去 10 年間,科學家使用抗體的習慣已出現顯著轉變;根據CiteAb的數據顯示,在 2023 年所發表使用抗體的論文中,約有 20% 選用了重組抗體[2]

然而,當需要更高靈敏度、覆蓋更廣泛的抗原(epitope)表位(如ChIP等特定應用),或檢測具有多種修飾、低蛋白表達的靶點時,你是否仍在具有批次穩定性的重組單抗和具有多表位覆蓋優勢的傳統多抗之間猶豫不決呢?

什麼是重組複合抗體 (recombinant multiclonal antibodies)?

重組複合抗體由多株經過精心挑選、能辨識同一抗原不同表位的重組單株抗體組成,因此在抗原結合模式上與傳統多株抗體相似,並具備優良的表位覆蓋性。同時,其所包含的每一株單抗皆以重組技術開發與生產,確保高度一致性與特異性,使重組複合抗體成為傳統多抗的理想升級選擇。

圖一、重組複合抗體由識別不同抗原表位的重組單抗構成。

Abcam 已推出 600+ 種重組複合抗體:連續 12 年獲得 CiteAb 的國際肯定

Abcam 重組複合抗體憑藉革命性的技術突破,在提升抗體靈敏度與表位覆蓋效果的同時,也具備良好的專一性。現已推出 600 多種重組複合抗體,持續為科研工作者提供高效能且可靠的抗體試劑。
Abcam 已連續 12 年獲得 CiteAb 的國際肯定,也因推動使用重組抗體以改善可重複性危機的努力,而在 2025 年 「年度重組抗體供應商(Recombinant Antibody Supplier of the Year)」 項目中獲得 Highly Commended 的殊榮。

重組複合抗體與傳統多株抗體的比較與優勢

  1. 實驗結果可重複,長期專案數據具有延續性
    • 批次間差異小
    • 保證長期供應,可批量生產
  2. 實驗結果可信,一次有效,次次可靠
    • 出色的靈敏度,涵蓋多個抗原表位
    • 特異性佳
  3. CP值高
    • 同一支抗體可涵蓋更多種類的實驗應用或物種反應性

重組複合抗體除了在 Western Blot ( 參考 )中展現了極佳的靈敏度,在免疫化學染色和免疫螢光染色等實驗也獲得了一致好評:

TransIT-X2®

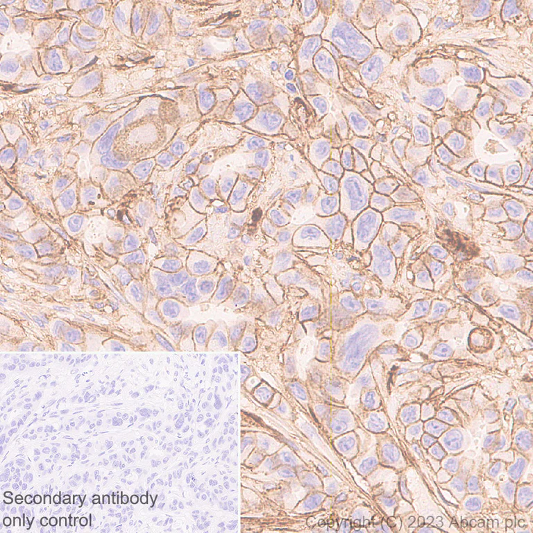
  • 重组複合Anti-CD276抗體 [RM2041]
    ( ab315907 )

Fig1. 人類乳腺癌組織之免疫化學染色(Immunohistochemistry, IHC)

使用抗CD276重組多株抗體( ab315907 ),以 1:200稀釋(使用濃度為2.505 μg/ml),並採用即用型 Leica DS9800二抗系統(Bond™ Polymer Refine Detection)。

TransIT-X2®

  • 重组複合Anti-IL-17A抗體 [RM1202]
    ( ab318150 )

Fig.2 EL4細胞之免疫螢光染色(Immunofluorescence, IF)

樣本分別以PMA、Ionomycin鈣鹽及Brefeldin A進行overnight處理,抗體則以1:50稀釋(最終濃度9.96 μg/ml);二級抗體為Goat Anti-Rabbit IgG H&L (Alexa Fluor® 488, ab150081 )(綠色),與Alexa Fluor® 594 Anti-α-Tubulin ( ab195889 )共同標記(洋紅色)。

TransIT-X2®

  • 重组複合Anti-AKT3+AKT2+AKT1抗體 [RM1043]
    ( ab300473 )

Fig.3 MCF7細胞之免疫螢光染色(Immunofluorescence, IF)

以1:50稀釋(使用濃度為8.8 μg/ml);二級抗體為Goat Anti-Rabbit IgG H&L (Alexa Fluor® 488, ab150081 )(綠色),與Alexa Fluor® 594 Anti-α-Tubulin ( ab195889 )共同標記(洋紅色)。

什麼時候使用重組複合抗體的效果更佳?

  • 適合在需要同時檢測目標蛋白質上的多個轉譯後修飾 (post-translational modifications) 時使用
  • 適合分析表現量較低的蛋白質
  • 適合欲偵測同一蛋白家族的不同成員時使用
  • 適合在面對同源性較低、需跨不同物種進行檢測時使用

若您希望深入了解 Abcam重組複合抗體 ,或是取得完整技術支援服務與最新活動訊息,歡迎洽詢Abcam台灣代理 伯森生技。 您可透過下方連結瀏覽更多相關資訊:

References

[1] Bradbury, A., Plückthun, A. Reproducibility: Standardize antibodies used in research. Nature 518, 27–29 (2015)

[2] Kwon D. The antibodies don't work! The race to rid labs of molecules that ruin experiments. Nature. 2024 Nov;635(8037):26-28

伯森生物科技股份有限公司 前往 Abcam 官方網站

伯森生物科技(股)公司 Blossom Biotechnologies, Inc.
網址 www.blossombio.com 客服 0800-059668
[ 📝 線上留言諮詢 ] [ ☎ 伯森業務專員聯絡資訊 ]

加入伯森生技 Line 好友 (@blossom_biotech)  前往伯森生技 FB 粉絲專頁 (@blossombiotechnologies)